6100 SW 9th Street, Des Moines, IA 50315

Dentistry Before and After Photos

Fort Des Moines Dental | Oral Exams, Pediatric Dentistry and Oral Cancer Screening

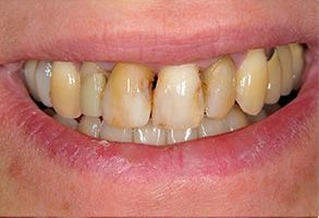
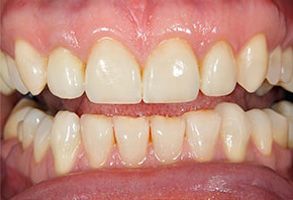
Before

Fort Des Moines Dental | Teeth Whitening, Root Canals and Sports Mouthguards

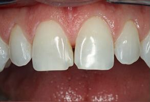
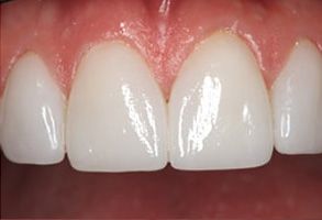
After

Fort Des Moines Dental | Oral Surgery, Crowns & Caps and Dental Fillings

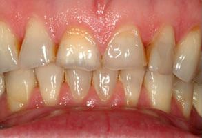
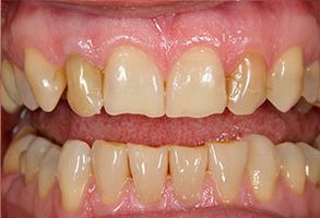
Before

Fort Des Moines Dental | Root Canals, Preventative Program and Emergency Treatment

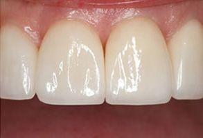
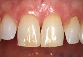
After

Fort Des Moines Dental | TMJ Disorders, Cosmetic Dentistry and Pediatric Dentistry

Before

Fort Des Moines Dental | Dentures, Emergency Treatment and Dental Cleanings

After

Fort Des Moines Dental | Implant Dentistry, Pediatric Dentistry and Dental Cleanings

Before

Fort Des Moines Dental | Sports Mouthguards, Night Guards and Preventative Program

After

Fort Des Moines Dental | Oral Surgery, Cosmetic Dentistry and Night Guards

Before

Fort Des Moines Dental | Dental Cleanings, Periodontal Treatment and Implant Dentistry

After

Fort Des Moines Dental | Pediatric Dentistry, Periodontal Treatment and Cosmetic Dentistry

Before

Fort Des Moines Dental | Implant Dentistry, Sports Mouthguards and Oral Cancer Screening

After

Fort Des Moines Dental | TMJ Disorders, Pediatric Dentistry and Preventative Program

Before

Fort Des Moines Dental | Pediatric Dentistry, Dental Sealants and Oral Surgery

After